加入收藏 | 设为首页 | 会员中心 | 我要投稿 | RSS
您当前的位置:首页 > 疾病大全 > 胆结石

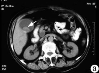
胆囊结石的CT影像表现

时间:2024-02-24 14:49:43  来源:中医五绝网

    胆结石症是胆道系统的常见病变,发病率为8%以上。按化学成分可将胆石分为3种类型:胆固醇类结石,胆固醇含量占80%以上;胆色素类结石,胆固醇含量少于25%;混合类结石,胆固醇含量占55%~70%。在我国以胆色素结石为主。
    胆囊结石的CT表现:
    CT的密度分辨率高,更有利于胆结石的发现。胆石的CT表现与其化学成分密切相关,其CT值与胆固醇含量呈负相关,与胆红素和钙含量呈正相关。

胆囊结石的CT影像表现

    CT表现主要有:高密度结石(均匀或不均匀);略高密度结石;等密度结石,与胆汁密度相等平扫不易区分;低密度结石;环状结石。

胆囊结石的CT影像表现

上一篇:胆结石患者如何洗大便来观察排石情况 下一篇:胆囊结石CT影像有哪些表现

来顶一下
返回首页
返回首页
随机推荐 更多推荐
  • 胆结石食疗-鸡胆汁黄瓜藤饮
  • 五绝指针疗法治疗胆结石的效果观察
  • 身体上长的胆结石是什么样的?
  • 胆结石患者如何洗大便来观察排石情况
  • 胆结石食疗方
  • 胆结石的产生因素及渐进过程
  • 巨大胆石的排出过程
  • 胆结石不治疗会有什么后果?
  • 五绝指针疗法治疗胆结石原理
  • 胆结石的原因有哪些?
  • 珠玉二宝粥的功效和制法
  • 五绝指针疗法治疗双侧颞叶脑梗塞致不能吞咽
  • 中医诊断之脾病的辨证
  • 胆结石验方
  • 脱发的中医外治法
  • 三个治病养生小动作
  • 中医拔罐疗法的适应症
  • 按摩疗法的禁忌症与注意事项
  • 五绝指针疗法适应现代疾病
  • 中医诊断之肾病的辨证
  • 发表评论 共有条评论
    用户名: 密码:
    验证码: 匿名发表
    推荐资讯
    张剑锋列入第七批保定市级非遗代表性传承人名单
    张剑锋列入第七批保定
    正常人的脉象是什么样
    正常人的脉象是什么样
    谈谈中医脉诊是怎么回事
    谈谈中医脉诊是怎么回
    河北杨婧通过五绝指针技术定期考核
    河北杨婧通过五绝指针
    相关文章
    栏目更新
    栏目热门