切换到繁體中文
您现在的位置: 中医五绝网 >> 医药图库 >> 癌症图片 >> MRI影像 >> 图片信息

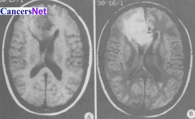
胶质母细胞瘤

www.yodicraft.com 图片作者:佚名 更新时间:2007-3-16 8:57:24 查看次数: 推荐等级:★★★
图片简介:
胶质母细胞瘤
网友评论:(只显示最新10条。评论内容只代表网友观点,与本站立场无关!)   【发表评论】
精彩推荐
| 设为首页 | 加入收藏 | 网站简介 | 友情链接 | 网站导航 | 联系我们 | 广告服务 |

www.yodicraft.com 版权所有:中医五绝网 联系电话:0312—3901862 邮编:072761 支持单位:涿州市五绝指针疗法研究所

电子信箱:webmaster@wujue.com 《中华人民共和国电信与信息服务业务》信息产业 冀ICP备11023339号

本站信息仅供参考,不能作为诊断及医疗的依据,请选择正规医疗机构就医;某些内容及图片来源于网络共享资源,如涉及版权问题请及时通知本站删除!