切换到繁體中文
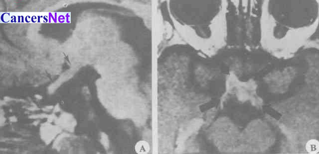
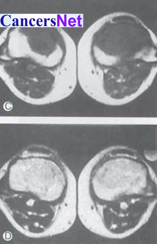
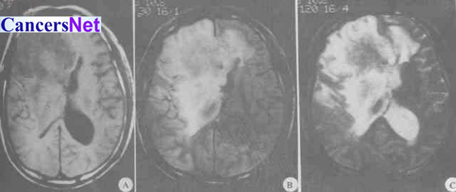
您现在的位置: 中医五绝网 >> 医药图库 >> 癌症图片 >> MRI影像
22 张图片  首页 | 上一页 | 1 2 | 下一页 | 尾页  20张图片/页  转到第
| 设为首页 | 加入收藏 | 网站简介 | 友情链接 | 网站导航 | 联系我们 | 广告服务 |

版权所有:中医五绝网 联系电话:0312—3901862 邮编:072761 支持单位:涿州市五绝指针疗法研究所

电子信箱:webmaster@wujue.com 《中华人民共和国电信与信息服务业务》信息产业 冀ICP备11023339号

特别声明:本站内容仅供中医爱好者学习和研究参考,为无偿分享、健康传递,某些内容及图片来源于网络共享资源,如涉及版权问题请及时通知本站删除!